搜索
检验医学新媒体
首页
最新资讯
前沿报道
临床案例
检验科普
期刊导读
学术直播
精彩活动
联系我们
首页
临床案例
临床案例
当"蝴蝶"扇动翅膀——一例青春期少女面部水肿背后的免疫风暴
2025-10-15
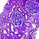
“肿”出不穷的谜团——肉芽肿性多血管炎相关肾小球肾炎的诊断之旅
2025-10-15
“沉默的风暴”—一例MAS的诊疗路径与启示
2025-10-15
隐藏在舌尖下的定时炸弹——PFAS
2025-10-15
关于TP53,此文不得不说的那些秘密
2025-10-15
APTT延长背后的“隐形杀手”:获得性血友病A的临床警示
2025-10-15
隐藏在前白蛋白背后的“真凶”
2025-10-15
免疫缺陷背后的“遗传刺客”:首例ZBTB24多外显子缺失致ICF2的诊疗启示
2025-10-15
含“非典型抗磷脂抗体”的抗磷脂综合征一例
2025-10-15
“胃患”先知:一例由同型半胱氨酸水平升高发现的自身免疫性萎缩性胃炎
2025-10-15
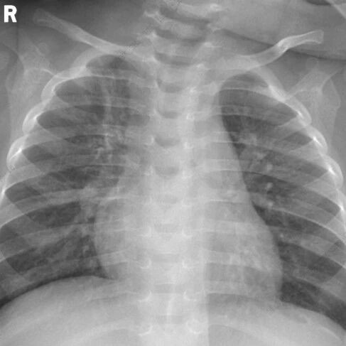
小儿肺炎藏危机,真假难辨找“帮手”
2025-10-15
当川崎病披上肺炎“外衣”:一例9月龄患儿的诊疗警示与检验解析
2025-10-15
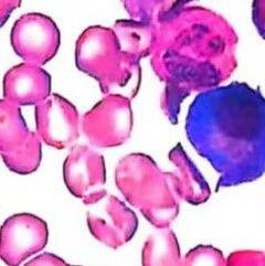
消失的它——一场以白细胞骤降为序章的免疫雪崩
2025-10-15
HBsAg 阴性,HBV DNA 阳性? 不可忽视的隐匿性乙型肝炎病毒感染
2025-10-15
噬血谜案:真相似是而非
2025-10-15
一块红丝绒蛋糕引起的思考
2025-10-15
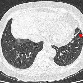
IgG4与肺吸虫病的免疫纠葛:从病例解析到机制探索
2025-10-15
从寻常感冒到明确诊断:一例传染性单核细胞增多症的检验诊断价值分析
2025-10-15
不容忽视的尿常规检查之肾小管上皮细胞管型
2025-10-15
TPPA和TRUST双阳,却不是梅毒感染,什么原因?
2025-10-15
首页
上一页
…
11
12
13
14
15
…
下一页
尾页