检验医学新媒体
  • 首页
  • 最新资讯
  • 前沿报道
  • 临床案例
  • 检验科普
  • 期刊导读
  • 学术直播
  • 精彩活动
  • 联系我们
  1. 首页
  2. 临床案例

临床案例

  • 血栓or血肿,助力临床找真因

    2024-01-07
  • 1例获得性血友病A病例的实验室诊断及与临床及时沟通分析探讨

    2024-01-07
  • 29岁男子突发严重低钾,是因为腹泻、嗜爱含糖饮料还是另有隐情?

    2024-01-07
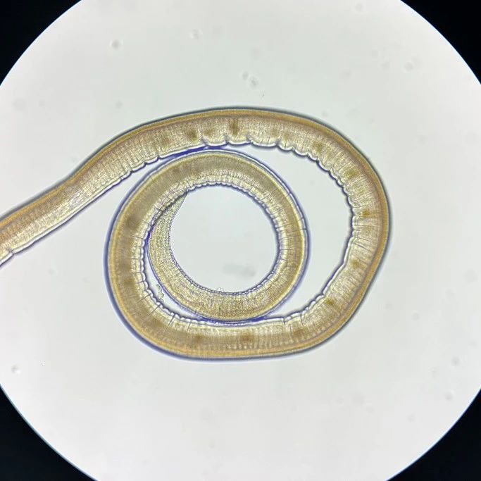
  • 一例粪类圆线虫的学习

    2024-01-06
  • 儿童肺炎支原体合并木糖氧化无色杆菌血流感染的思考

    2024-01-06
  • 血常规之复片不容小觑

    2024-01-06
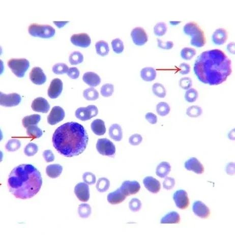
  • 揭开显微镜下“蝴蝶”状核的面纱

    2024-01-06
  • 回盲部检获人鞭虫雌虫1例

    2024-01-05
  • “传统凝血指标、D-二聚体、血栓弹力图” 谁主沉浮?——记1例IVF孕妇抗凝治疗

    2024-01-05
  • “奶油”血引发的思考:脂血对离子检测的影响探究

    2024-01-05
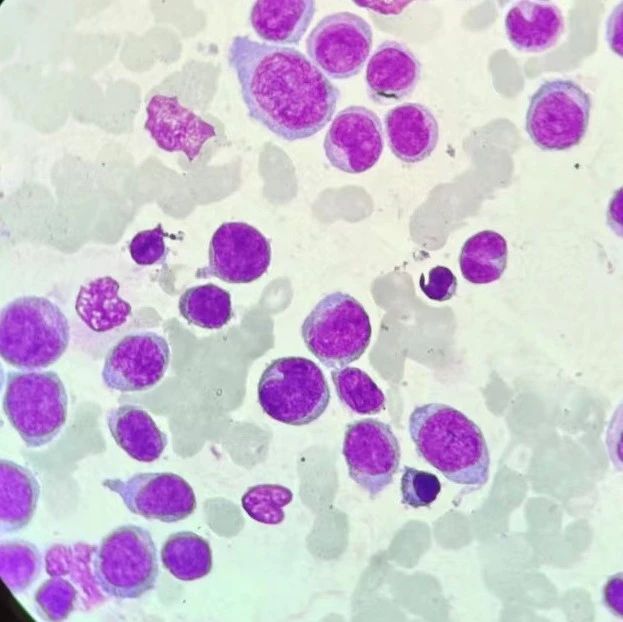
  • 以癫痫为首发表现的SIL::TAL1阳性急性T细胞淋巴细胞白血病?

    2024-01-04
  • 乙肝抗体阳性真的就可以安枕无忧了吗?

    2024-01-04
  • 揭开一例少见的异常血常规散点图的神秘面纱

    2024-01-04
  • 冷凝集素干扰ABO血型鉴定引发的思考

    2024-01-03
  • 血红蛋白正常也可能会被诊断为贫血吗?

    2024-01-03
  • 打破砂锅问到底,记一例食管癌合并淋巴浆细胞淋巴瘤的诊断历程

    2024-01-03
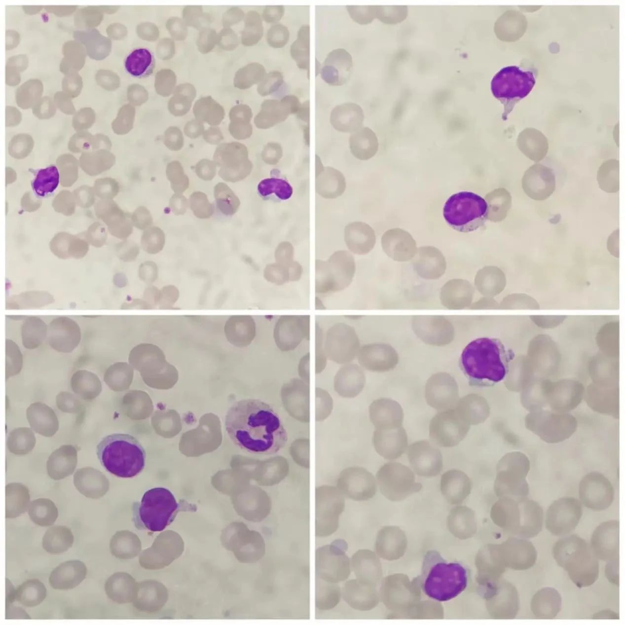
  • 应对不典型血液肿瘤,这里有3个典型案例

    2024-01-03
  • 膝膝相“惜”,“炎”重警告

    2024-01-02
  • 持续性低钾血症,原因你猜得到吗?

    2024-01-02
  • 患者贫血为哪般?细胞形态学见端倪

    2024-01-02
  • 首页
  • 上一页
  • …
  • 57
  • 58
  • 59
  • 60
  • 61
  • 下一页
  • 尾页

免责声明:本站部分资料来自网络, 如果侵犯了您的权益,请与本站联系,我们将及时改正或删除。

其他媒体转载须事先与原作者和本网站联系。

渝ICP备2024043376号-2   渝公网安备50019002504968号